您好,欢迎访问云县人民医院官网!
医院新闻
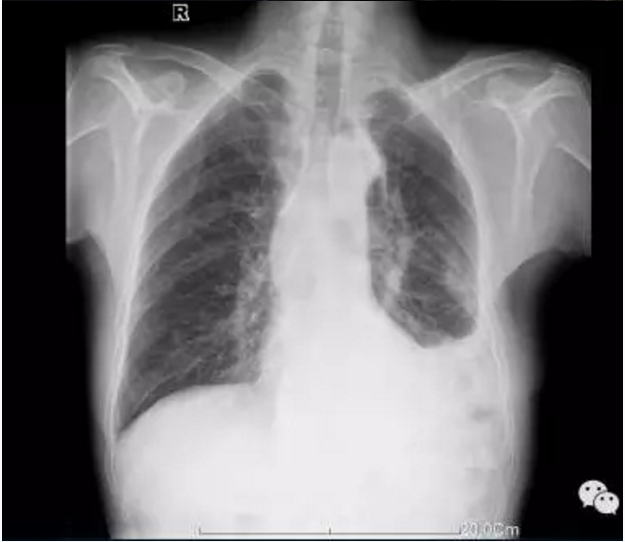
自2017年2月,我院在上级专家老师的指导下,成功为四名癌症患者实施了PICC,之后随着我院派往昆明医科大学第三附属医院学习静脉治疗专科护士的归来,于2017年6月由我院专科护士成功为两名癌症患者实施了PICC,穿刺置管顺利,置管后经胸片显示:导管尖端均在标准位置,患者接受程度良好,标志着我院静脉治疗翻开了全新的一页。



过去,我院一些需要留置PICC的病人都是从省级医院带管回来做治疗和维护,病人比较麻烦。现在这项技术的成功开展,就能在当地为病人提供方便。
PICC置管术,体现了护理静脉注射向技术多元化、工具多样化方面发展,这项护理新技术的成功开展,不仅提升了我院护理专科技术水平,更为患者带来便利。今后,我们将继续努力,不断提升护理服务能力,用便捷、高效、专业、有品质的护理技术,真正为广大患者享受医疗惠民的福利而努力!