您好,欢迎访问云县人民医院官网!
科教简讯
10月10日,云县人民医院骨科二病区首次在3D打印技术辅助下成功为一名胫骨平台等多处粉碎性骨折患者进行手术。

手术前CT片
患者张先生,今年42岁,因“车祸致伤左小腿4小时于2018年9月17日收住入院。入院检查后诊断为左胫腓骨多发骨折并腓总神经损伤、左髌骨粉碎性骨折、左跟骨粉碎性骨折,由于骨折部位较多,骨折较为粉碎多为体积较小的碎骨快,复位极其困难,若采用传统内固定手术可能影响关节骨折复位,增加手术后并发症风险,必然会大大增加患者的痛苦。
手术前查房
3D打印1:1患者骨折模型
针对患者具体病情,云县人民医院骨科二病区决定发挥数字骨科优势,邀请到昆明医科大学附属延安医院骨科主任熊鹰及创新与转化3D打印研究中心,根据患者骨关节形态通过精密计算,按1:1比例打印出胫骨平台骨折模型,根据3D打印立体模型制订了周密的手术方案,手术前就准确定位了内固定物的形态及安放位置。
经过充分的术前准备,在熊鹰教授的指导下成功为该患者进行左胫骨平台、胫腓骨下段骨折小切口切开复位桥接系统内固定术,由于术前采用了3D打印技术,治疗团队对患者骨折情况进行了全方位的掌握,并依据3D打印模型确定了手术方案,内固定物型号,手术时间大大缩短,减小手术创伤,减少手术出血,极大的减轻了患者痛苦和风险,手术顺利完成,术后张先生全身状况恢复良好,目前正在积极进行康复锻炼。

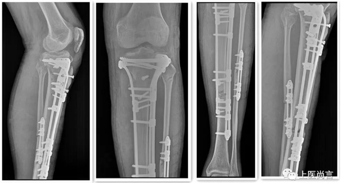
手术后DR片
据骨科二病区李副主任介绍,随着现代科学技术的发展应用于医学,医生的手术技巧、手术能力不断进步,3D打印技术就是将患者骨折部位CT扫描三维重建产生的数据经计算机处理,连接3D打印机,可以将任何形状的虚拟模型打印成实体模型,骨科有了3D技术可以更好的手术前规划、有利于骨折的精确复位,缩短手术时间,达到更好的手术效果;而且还能有效减小手术创伤,减少手术中出血,节省手术时间,缩短手术后恢复时间,造福广大需要手术治疗的患者。
术后通过精心护理,患者恢复良好
什么是3D打印技术?
3D打印技术是一种以数字模型文件为基础,运用粉末状金属或塑料等可粘合材料,通过逐层打印的方式来构造物体的技术。微创化、个性化、精细化是医疗技术的发展趋势。
3D 打印技术作为一种新型的快速成型及快速制造技术,在骨科领域得到了广泛的应用与发展。该技术已被视为是一项颠覆传统生产方式的革命性技术,作为一项潜在的医疗辅助技术,已日益成为引领未来临床医学发展的关键技术之一。
当前,伴随计算机软硬件、医学影像及其后处理技术的飞速发展,个体化精确建模水平不断提高,利用3D打印技术快速实现各种个体化模型、辅助器械、植入体等产品的制造在生物医学领域逐渐得到推广应用。
3D打印技术有什么好处?
有了此项技术,在进行一些高难度复杂手术前,我们可以把病变部位的CT扫描数据进行数字化处理,建立完整的数字模型,设计好手术入路、手术范围、内固定范围和植骨大小等。同时,通过3D打印技术将数字模型打印成一个精确到毫米的1∶1实物模型,再经过对病灶部位的精确测量、对治疗方案的个性化制定以及对手术过程的设计和预演,大大减小了手术风险,也减少了术中出血,缩短了手术时间,有效提高了手术的安全系数,同时让患者对自己的病情和手术方案有了更直观的了解,方便了术前医患交流。