您好,欢迎访问云县人民医院官网!

健康热线:

医院新闻

云县康复医院健康科普 | 比抑郁症更可怕的疾病--双相情感障碍

【2024-05-28】 浏览量:318
查看详情

2.14情人节特辑 | 云医爱情故事:“医”路上有你

【2024-05-28】 浏览量:275
查看详情

云县爱华镇卫生院召开2024年国家基本公共卫生服务项目工作推进会

【2024-05-28】 浏览量:518
查看详情

云县人民医院:加快推进“千县工程” 县域医共体运营管理先作“文章”

【2024-05-28】 浏览量:383
查看详情

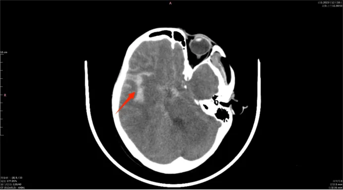
云县人民医院神经内科病例分享:“小手术”解决大问题---神经(脑血管)介入治疗

【2024-05-28】 浏览量:338
查看详情

前行不忘耕耘者 新春慰问暖人心 | 云县人民医院开展春节走访慰问活动

【2024-05-28】 浏览量:341
查看详情

云县人民医院健康科普:疝气复发怎么办?这些你需要了解!

【2024-05-28】 浏览量:335
查看详情

热血暖冬,医者大爱!云县医共体医务人员积极参加无偿献血活动

【2024-05-28】 浏览量:347
查看详情
×